Когда болит правый бок со спины, трудно сразу определить, вызвана ли боль мышечной усталостью или серьезным заболеванием. Дискомфорт может возникать даже после неудобного отдыха. Как понять, стоит ли обращаться к врачу или достаточно принять обезболивающее и подождать?
Определить причину боли в правом боку сзади сложно, но можно приблизительно выяснить, с каким органом связана проблема. Характер, сила и точная локализация боли помогут понять, к какому специалисту обратиться.
Возможные зоны дислокации боли:
-
Внизу спины. Боль может отдавать в поясницу при проблемах с позвоночником, таких как травма крестца, грыжа или остеохондроз. Если боль не проходит при смене положения, это может указывать на проблемы с мочевыделительной системой.
-
В правом боку сзади по центру. Здесь расположены почки, поэтому боль в этом участке чаще всего связана именно с ними. У женщин иногда боли могут иррадиировать из-за заболеваний яичников.
-
Под лопаткой. Боль в правой части спины может быть связана с неврологическими проблемами, такими как защемление нерва. Также она может возникать при заболеваниях легких, например, плеврите.
-
Под ребрами. Боль в спине справа может быть вызвана патологиями поджелудочной железы, печени или желчного пузыря. Если симптомы продолжаются долго, стоит проверить печень.
Если боль появляется по утрам, это может быть связано с мышечной дистрофией или неудобным местом для сна.
Характер боли может варьироваться. Острые приступы могут указывать на серьезные патологии, в то время как ноющие и тянущие боли не всегда означают отсутствие заболеваний.
Некоторые заболевания, проявляющиеся болями в правом боку спины в верхней части:
-
Рак бронхов. Характеризуется ноющей болью, которая усиливается со временем и беспокоит даже в покое.
-
Плеврит. Боль усиливается при вдохе, особенно при сухом плеврите, когда возникают резкие ощущения при кашле или глубоком дыхании.
-
Пневмония. Интенсивность боли зависит от стадии заболевания, сопровождается хрипами и повышенной температурой.
-
Пневмоторакс. Вызывает резкую боль под лопаткой, возникающую спонтанно.
-
Инфаркт легкого. Сопровождается сильными болями под лопаткой и требует немедленной помощи.
Боли в правом боку со спины могут быть вызваны:
-
Холецистит. Острый приступ может вызывать резкий дискомфорт сзади справа, который распространяется на плечо или под ребро. Часто сопровождается рвотой и повышением температуры.
-
Аппендицит. Хотя редко, но может проявляться болями в правом боку.
-
Кишечная колика. Обычно кратковременная, может проходить самостоятельно или после спазмолитиков.
-
Острый панкреатит. Боль может отдавать в поясницу и живот, имеет схваткообразный характер. Увеличение боли требует немедленной медицинской помощи.
Дискомфорт может быть следствием метеоризма, который легко устраняется спазмолитиками или сорбентами.
Боли в правом боку могут также быть связаны с патологиями позвоночника, такими как трещины, межпозвоночные грыжи, остеохондроз или артрит.
Как понять, что боли вызваны проблемами с позвоночником? Обратите внимание на сопутствующие симптомы:
- Скованность и трудности при смене положения.
- Боль, усиливающаяся при движениях.
- Ощущение онемения или мурашек.
- Прострелы в поясничном отделе.
Если у вас остеохондроз, такие боли могут быть постоянными. Лечение поможет предотвратить их прогрессирование.
Если болит правый бок и отдает в спину, возможны серьезные патологии:
-
Почечная колика. Острая, невыносимая боль может также указывать на тромбоз артерии печени.
-
Нефроптоз. Боль в нижней части спины, которая исчезает в лежачем положении, может прогрессировать.
-
Мочекаменная болезнь. Боль может распространяться по всей спине и быть как острой, так и тупой.
-
Гидронефроз. Боль возникает при расширении лоханки почки, может сопровождаться изменением цвета мочи и тошнотой.
-
Пиелонефрит. Боль может ощущаться не только в правом боку, но и по всему телу.
-
Абсцесс почки. Сопровождается сильной болью, ознобом и общим недомоганием.
Если боль в правом боку появилась после травмы, это может указывать на забрюшинную гематому, и требуется врачебная помощь.
Ноющая боль, отдающая в бок, может свидетельствовать о различных патологиях. Если она постоянная, стоит обратиться к врачу для выявления первопричины и назначения лечения.
Что делать при боли в правом боку со стороны спины? Следуйте рекомендациям врача. Терапия обычно комплексная и может включать медикаменты, массаж и ЛФК.
Если боль невыносимая, можно принять анальгетик. Спазмолитики помогут при болях, связанных с зажатием нерва.
Не стоит принимать другие средства, особенно если дискомфорт возвращается. В этом случае необходимо обратиться к специалисту.
В некоторых случаях требуется вызвать скорую помощь, особенно при резкой, сильной боли, сопровождающейся головокружением или высокой температурой. Это может указывать на обострение серьезного заболевания, требующего экстренного вмешательства.
Не терпите дискомфорт и не полагайтесь только на таблетки. Безответственность может привести к серьезным последствиям для здоровья.
Видео о причинах боли в правой стороне спины под лопаткой
Любая боль в правом боку должна насторожить. Этот симптом может указывать на развитие опасной патологии, угрожающей здоровью и жизни. Чаще всего боль связана с работой внутренних органов, позвоночника и пищеварительной системы, но может быть вызвана и другими заболеваниями.
Если вы ощутили боль в правом боку, которая отдает в ногу или спину, важно обратить внимание на характер боли и сопутствующие симптомы. Это поможет определить причину болевого синдрома и позволит специалисту назначить необходимое лечение.
https://youtube.com/watch?v=GIffKsazfTM
Болезни дыхательной системы
Плеврит
Плеврит — это заболевание, сопровождающееся воспалением листков плевры, как висцеральной, так и париетальной. При плевритах в грудной области часто скапливается жидкость, сдавливающая легкие, нервы и ткани, что вызывает болевой синдром в правом боку.
Характер и локализация боли
Плеврит проявляется колющей болью в боку, усиливающейся при выдохе, кашле или натуживании. На начальной стадии боль локализуется в грудной клетке, затем может ощущаться в ребрах, боку и спине со стороны поражения.
При правостороннем плеврите боль, отдающая в спину, локализована справа.
Дополнительные симптомы
Помимо боли, пациенты могут испытывать:
- одышку;
- тяжесть в груди;
- сильный сухой кашель;
- субфебрильную температуру (до 38 °С).
Диагностика и лечение
Диагностика и лечение определяются терапевтом или пульмонологом. Если заболевание развилось после травмы, требуется консультация травматолога.
Для диагностики проводят:
- сбор анамнеза;
- осмотр пациента;
- рентгенографию органов грудной клетки;
- КТ;
- УЗИ;
- функциональное исследование внешнего дыхания;
- торакоскопию;
- плевральную пункцию;
- лабораторные исследования (кровь, моча, плевральная жидкость).
Лечение включает:
- антибактериальные препараты широкого спектра (при инфекционном плеврите);
- обезболивающие средства;
- противокашлевые препараты (при сильном кашле);
- средства для дезинтоксикации организма.
В некоторых случаях, при значительных изменениях плевры, может потребоваться хирургическое вмешательство.
Пневмония
Пневмония — это воспаление легочной ткани, включая альвеолы, бронхи и соединительную ткань. Она может быть двусторонней, левосторонней или правосторонней. Воспаление правого легкого может вызывать боли в правом боку и спине.
Характер и локализация боли
При правостороннем воспалении легкого возникает тупая боль в правом боку, преимущественно в подреберье.
Мнение эксперта
Филимошин Олег Александрович, врач-невролог городской поликлиники г. Оренбурга, отмечает, что при длительном течении заболевания боль может ощущаться в груди и спине со стороны пораженного легкого.
Дополнительные симптомы
Первым симптомом пневмонии является резкое повышение температуры до 39,5 °С. Затем появляются признаки общей интоксикации:
- слабость;
- снижение умственной и физической активности;
- повышенное потоотделение, особенно ночью;
- снижение аппетита;
- мышечные, головные и суставные боли;
- спутанность сознания.
Легочные проявления включают:
- сухой кашель, который со временем переходит в продуктивный;
- одышку;
- боль в грудине, усиливающуюся при вдохе.
Также могут наблюдаться:
- покраснение кожи на стороне поражения;
- герпетические высыпания на воспаленном легком;
- боль в животе;
- рвота;
- расстройство стула.
Диагностика и лечение
При появлении указанных симптомов необходимо обратиться к пульмонологу. Специалист проведет осмотр, соберет анамнез и назначит дополнительные диагностические процедуры, такие как:
- рентгенография;
- КТ;
- фибробронхоскопия;
- клинические, биохимические и бактериологические исследования крови и мокроты.
Мнение эксперта
Филимошин Олег Александрович, врач-невролог городской поликлиники г. Оренбурга, подчеркивает, что лечение пневмонии проводится в стационаре под наблюдением медперсонала. Медикаментозная терапия включает антибиотики, витамины, микроэлементы, отхаркивающие препараты и бронхорасширяющие средства.
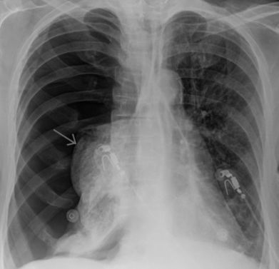
Пневмоторакс
Патологическое состояние, при котором в плевральной полости накапливается воздух, сжимает легкие и нарушает дыхание. При большом объеме воздуха происходит смещение сердца и крупных сосудов, что приводит к серьезным нарушениям кровообращения и дыхания.
Характер и локализация боли
При пневмотораксе возникает острая боль в грудной клетке, усиливающаяся при вдохе.
Иногда боль иррадиирует в плечо и спину со стороны пораженного легкого.
Дополнительные симптомы
Заболевание начинается с внезапной одышки. Затем пациент отмечает:
- сухой кашель;
- тахикардию;
- холодный липкий пот;
- паническую атаку;
- резкую слабость.
При значительных нарушениях кровообращения и дыхания может наблюдаться синюшность кожи.
При открытом пневмотораксе (воздух попадает через открытую рану грудной клетки) при вдохе слышен свистящий звук.
При выдохе воздух выходит через открытую рану.
Диагностика и лечение
Диагностика включает:
- осмотр пациента;
- рентгенографию грудной клетки;
- компьютерную томографию;
- исследование газового состава крови;
- ЭКГ.
Небольшой объем воздуха в плевральной полости, не нарушающий дыхание, обычно не требует лечения.
В других случаях лечение может включать:
- плевральную пункцию для отсасывания воздуха;
- установку дренажной трубки;
- применение обезболивающих;
- кислородотерапию;
- оперативное вмешательство.
Рак бронхов, легких
Онкологическое заболевание возникает из-за нарушения деления клеток и характеризуется неконтролируемым размножением клеток тканей.
Характер и локализация боли
Боль при раке бронхов и легких не имеет четкой характеристики. Некоторые пациенты описывают ее как острую и жгучую, другие — как ноющую, тупую и постоянную. Изначально боль локализуется в боку со стороны пораженного органа, затем может отдавать в спину, пах, грудину и конечности.
Болезненность чаще наблюдается на более поздних стадиях заболевания.
Дополнительные симптомы
К другим симптомам относятся:
- периодический кашель;
- вялость и усталость;
- снижение или отсутствие аппетита;
- резкое похудение;
- наличие прожилок крови в мокроте при кашле;
- кровохаркание.
Диагностика и лечение
Диагностикой и лечением занимается врач-онколог. Для подтверждения диагноза применяются:
- сбор анамнеза и осмотр пациента;
- рентгенография;
- КТ и МРТ;
- УЗИ;
- эндоскопические исследования;
- анализ крови на онкомаркеры.
Наиболее эффективным методом лечения является хирургическое удаление опухоли.
Также используются химиотерапия и лучевая терапия.
Болезни органов ЖКТ
Острый холецистит
Воспалительное заболевание желчного пузыря обычно возникает из-за неправильного питания и нарушений обмена веществ.
Характер и локализация боли
Боль локализуется в правом подреберье и может иррадиировать в спину.
Заболевание проявляется приступами острой боли, усиливающимися после еды.
Дополнительные симптомы
При остром течении отмечаются:
- резкая тошнота;
- рвота (иногда однократная);
- жидкий стул (также может быть однократным);
- привкус металла или горечи во рту;
- температура выше 38 °С.
Диагностика и лечение
При появлении симптомов острого холецистита необходима консультация терапевта или гастроэнтеролога. Для диагностики применяются:
- сбор анамнеза, осмотр, пальпация;
- рентгенография;
- КТ;
- УЗИ;
- ФГДС (фиброгастродуоденоскопия);
- микробиологические исследования.
В лечении используются:
- антибиотики;
- противоглистные препараты;
- желчегонные средства;
- спазмолитики.
Аппендицит
Опасное заболевание, при котором происходит воспаление червеобразного отростка слепой кишки, называется аппендицитом. Основной симптом — боль в правом боку, связанная с анатомическим расположением аппендикса в правой подвздошной области.
Характер и локализация боли
В большинстве случаев воспаление аппендикса вызывает тупую, постоянную боль в животе. На начальных стадиях болезненность может ощущаться по всему животу, но через несколько часов она локализуется в правом нижнем квадранте.
Прогрессирование заболевания приводит к сильным болевым ощущениям и другим характерным признакам.
Дополнительные симптомы
К дополнительным симптомам аппендицита относятся:
- периодическая тошнота;
- однократная рвота;
- сухость во рту;
- снижение аппетита;
- жидкий стул (обычно однократный);
- повышение температуры до 39 °С;
- тахикардия.
В некоторых случаях аппендицит может протекать длительно, проявляясь лишь незначительной болью в правой части живота ниже ребер. Эта боль не купируется спазмолитиками, поэтому при подозрении на воспаление аппендикса необходима срочная госпитализация.
Несвоевременное вмешательство может привести к разрыву или гангрене аппендикса и, как следствие, к опасному для жизни состоянию — перитониту.
Диагностика и лечение
Диагностику воспаления аппендикса проводит врач на основе жалоб пациента и сбора анамнеза. Признаком заболевания служит значительное повышение уровня лейкоцитов в крови. Часто применяют ультразвуковое исследование органов брюшной полости.
Лечение аппендицита заключается в хирургическом удалении воспаленного органа.
Болезни мочевыделительной системы
Забрюшинная гематома
Осложнение после травмы живота называется забрюшинным кровоизлиянием. Гематома может возникнуть из-за повреждения внутренних органов, таких как пищевод, органы мочеполовой системы и прямая кишка.
Характер и локализация боли
Боль при данной патологии острая и усиливается при движении тазобедренных суставов.
Обычно боль локализуется в животе, боках сзади и пояснице.
Дополнительные симптомы
При небольшой гематоме пациент может не испытывать никаких симптомов. Симптоматика зависит от объема крови, излитой в брюшную полость, а также от повреждений внутренних органов и костей.
Значительная гематома сопровождается:
- сильным шоком;
- болевым шоком;
- внутренними кровотечениями;
- раздражением брюшины;
- парезом кишечника.
Диагностика и лечение
Наличие гематомы определяется с помощью дифференциальной диагностики и УЗИ внутренних органов. Лечение хирургическое.
Гидронефроз
Прогрессирующее расширение собирательных полостей почек приводит к их дисфункции.
Характер и локализация боли
Гидронефроз вызывает ноющие боли в области живота, боков, поясницы и крестца.
При поражении правой почки болезненность ощущается преимущественно справа.
Дополнительные симптомы
К другим симптомам относятся:
- прощупываемое уплотнение в брюшной полости;
- кровь в моче;
- повышение температуры;
- озноб;
- головные и суставные боли.
При поражении обеих почек развивается почечная недостаточность, проявляющаяся уменьшением объема мочи, отечностью и повышением артериального давления.
Диагностика и лечение
Диагноз ставят на основе анализа крови, УЗИ почек, экскреторной урографии, КТ и МРТ.
Консервативное лечение включает:
- противовоспалительные средства;
- антибактериальные препараты;
- лекарства для снижения артериального давления;
- соблюдение специального режима питания.
Хирургическое лечение включает установку стента или нефростомы, а также удаление суженного участка мочевыделительного тракта.
Гломерулонефрит
Группа почечных патологий отличается разнообразием течения, симптомов и исходов. Обычно поражаются гломерулы (клубочки почек), но могут быть затронуты и другие структуры.
Характер и локализация боли
Боль постоянная и тупая, чаще всего локализуется в пояснице и боках со стороны поражения.
Дополнительные симптомы
Патология развивается остро и проявляется следующими признаками:
- головная боль;
- расстройства ЖКТ;
- общая слабость;
- повышение температуры до 39 °С;
- отеки различной степени;
- повышение артериального давления;
- изменение цвета мочи;
- олигурия.
Диагностика и лечение
Диагностика основывается на комплексной оценке состояния пациента и включает:
- сбор анамнеза, включая семейный;
- осмотр пациента;
- лабораторные исследования мочи и крови;
- иммунный анализ сыворотки крови;
- УЗИ почек.
Лечение предполагает постельный режим и бессолевую диету. Назначаются антибиотики, диуретики, антигистамины и антикоагулянты. При тяжелом течении применяются гормональные препараты и цитостатики.
В самых тяжелых случаях может потребоваться гемодиализ.
Пиелонефрит
Воспаление почек с поражением чашечно-лоханочной системы и тканей почек возникает из-за воздействия различных бактерий.
Характер и локализация боли
Пациенты отмечают тянущую, ноющую боль в пояснице и в боку со стороны пораженной почки. Болезненность усиливается при движении.
Дополнительные симптомы
К дополнительным признакам заболевания относятся:
- резкое повышение температуры до 40 °С;
- усиление потоотделения;
- слабость;
- тревожность;
- снижение или отсутствие аппетита;
- головная боль;
- тошнота и рвота;
- жажда;
- нарушение сна;
- учащенное болезненное мочеиспускание;
- сухость кожи и слизистых;
- отечность век;
- помутнение мочи.
Диагностика и лечение
Диагностика включает общий и биохимический анализ крови, общий анализ мочи, бакпосев и антибиотикограмму мочи, а также анализ мочи по Зимницкому.
Из инструментальных методов применяют УЗИ органов мочевыделительной системы, экскреторную урографию, радиоизотопную ренографию, КТ и биопсию почек.
Лечение включает антибактериальную терапию препаратами широкого спектра действия, а также противовоспалительные нестероидные препараты.
Поражения позвоночника, спинного мозга
Остеохондроз
Дегенеративно-дистрофическое заболевание, поражающее межпозвоночные диски.
Характер и локализация боли
Заболевание проявляется продолжительными, тянущими болями в позвоночнике. С течением времени боль может иррадиировать в спину, грудную клетку, ребра и поясницу.
Дополнительные симптомы
Симптоматика остеохондроза разнообразна.
Основной признак — скованность движений позвоночника и боль в различных областях тела.
Диагностика и лечение
Диагностикой остеохондроза занимаются невролог и ревматолог. На основе жалоб пациента специалисты назначают диагностические процедуры, включая:
- рентгенографию;
- КТ;
- МРТ.
Лечение комплексное, направлено на уменьшение воспаления и снятие боли. Чаще всего применяются:
- НПВП;
- хондропротекторы;
- обезболивающие препараты;
- миорелаксанты;
- витамины и минералы.
Физиотерапия также показывает высокую эффективность.
Спондилез
Заболевание позвоночного столба, при котором происходит шиповидное разрастание костной ткани по краям позвонков, называется спондилезом.
Характер и локализация боли
На начальной стадии спондилеза пояснично-крестцового отдела пациенты отмечают непостоянные ноющие боли.
Обычно болезненность ощущается по бокам туловища и в области поясницы.
Дополнительные симптомы
Пациенты также сообщают о скованности в спине, усталости и ноющих болях в позвоночнике. Боль может усиливаться при изменении погоды.
Диагностика и лечение
После неврологического обследования пациентам рекомендуются:
- рентгенография позвоночника;
- компьютерная томография;
- МРТ.
Лечение может быть медикаментозным, физиотерапевтическим или оперативным.
Боли в правом боку у женщин
Боль в правом боку внизу живота у женщин может быть вызвана следующими причинами:
- воспалительными заболеваниями органов малого таза;
- внематочной беременностью;
- кистами яичника;
- перекрутом ножки кисты;
- овуляцией;
- беременностью.
В каком случае необходима немедленная медицинская помощь?
Вызвать скорую помощь нужно, если:
- возникла внезапная резкая боль в боку, не проходящая в течение 40 минут;
- боль сопровождается рвотой с примесью крови, горечью во рту и повышением температуры;
- боль усиливается при движении;
- сильная боль резко прекратилась;
- боль не снимается спазмолитиками;
- появилась кровь в моче;
- общее состояние ухудшилось, сознание спутано.
Первая помощь
Боль в правом боку и спине может быть симптомом серьезных заболеваний, поэтому не стоит заниматься самолечением. Если боль отдает в спину, рекомендуется лечь и принять таблетку обезболивающего.
Если после одной таблетки боль не утихает, необходимо вызвать скорую помощь. Не следует принимать много обезболивающих, так как это может затруднить диагностику.
Боль в правом боку, отдающая в спину, может указывать на опасные патологии.
Не стоит ждать, что боль пройдет сама. Своевременное обращение за медицинской помощью может восстановить здоровье и спасти жизнь.
Обязательно посмотрите следующее видео
Источник
https://youtube.com/watch?v=C0oNPLYqQyU







