Цефалгия может охватывать всю голову или локализоваться в определенной области. Тип ощущений, их интенсивность, место появления и наличие дополнительных симптомов могут помочь в предварительной диагностике. Боль в левой части головы часто связана с повышенной метеочувствительностью, но также может указывать на серьезные заболевания. При возникновении головной боли лучше не заниматься самолечением, а сразу обратиться к врачу.
Почему болит левая сторона головы
Болезненность в одной части головы может проявляться пульсацией, стрельбой, тянущими или давящими ощущениями. Часто ей сопутствуют дополнительные симптомы, характерные для определённых заболеваний.
Причины этой клинической картины могут быть разнообразными. Некоторые болезни имеют схожие проявления, но требуют различных подходов к лечению. Нельзя сосредотачиваться только на одном симптоме; важно выявить источник всех тревожных признаков.
Игнорирование боли в левой части головы может привести не только к снижению работоспособности, но и увеличить риск хронических заболеваний, экстренных состояний и нервных расстройств.
Кластерные головные боли
Состояние проявляется систематическими приступами боли в голове, которые возникают с одной стороны (левой или правой) и могут отдавать в глаз. К нему предрасположены курящие мужчины зрелого возраста и крепкого телосложения. Боль возникает неожиданно, без видимых причин. Она мучительная, нарастающая, может быть сверлящей или жгучей. Продолжительность приступа составляет от 10 до 60 минут. В течение дня может произойти от 2 до 8 обострений, иногда это продолжается 4-12 недель.
Болезнь имеет сезонный характер: после окончания кластера симптомы могут не беспокоить несколько месяцев или даже лет. Причины заболевания до сих пор не установлены, поэтому лечение направлено на облегчение болевого синдрома.
Подробнее о кластерной боли вы можете узнать здесь.
Головная боль напряжения
Длительное пребывание в одной позе или негативное эмоциональное состояние вызывает перенапряжение мышц. Аналогично, неравномерная нагрузка на опорно-двигательный аппарат, например, из-за сколиоза или травмы позвоночника, приводит к тому же результату. Мышцы находятся в постоянном тонусе, что нарушает кровоток, вызывает гипоксию и накопление токсинов. В результате возникают головные боли, локализующиеся слева или справа в висках или темени. Эти боли давящие, слабой или средней интенсивности, без прострелов или пульсации. Они могут сопровождаться головокружением, легкой тошнотой и ухудшением настроения.
О симптомах, причинах и методах лечения данного вида боли вы узнаете из этой статьи.
Мигрень
Систематическое появление головной боли с одной стороны головы характерно для мигрени. Чаще всего этому состоянию подвержены женщины репродуктивного возраста.
Мигрень может быть вызвана наследственной предрасположенностью, гормональными изменениями, стрессом, чрезмерными нагрузками, нарушением сна и злоупотреблением алкоголем. Приступы могут возникать спонтанно или под воздействием триггеров. Обострение длится от 2-4 часов до 3 суток.
Клинические проявления мигренозных головных болей:
- односторонние, пульсирующие, нарастающие ощущения;
- начальная боль в одном месте, затем она распространяется на всю половину головы;
- возможна аура – предвестник, проявляющийся проблемами со зрением, речью и восприятием;
- повышенная чувствительность к свету, звукам и запахам;
- боль усиливается при движении;
- на пике боли может возникнуть тошнота; рвота приносит облегчение.
Люди, страдающие от мигрени, должны не только принимать лекарства во время приступов, но и заниматься профилактикой обострений. В противном случае частота головных болей может увеличиться, что приведет к снижению работоспособности и развитию невроза или психоза.
О медикаментозном лечении мигрени вы узнаете здесь.
Черепно-мозговая травма
Ушиб, сотрясение или сдавливание головного мозга всегда вызывают головную боль. В зависимости от локализации проблемы, боль может ощущаться слева или справа.
Болезненность может быть пульсирующей, давящей, распирающей, жгучей или стреляющей. Часто повреждения головного мозга сопровождаются тошнотой и рвотой. В некоторых случаях наблюдаются спутанность сознания или кратковременная потеря сознания. Травмы головы и шеи могут привести к отсроченной цефалгии, вызванной не остановленным кровотечением или гематомой, поэтому необходима своевременная помощь.
Инфекционные заболевания
Головная боль может возникать из-за инфекции. В этом случае она свидетельствует о общей интоксикации или поражении тканей головного мозга. Неполностью вылеченная ОРВИ может быть столь же опасна, как менингит.
Если боль локализуется в левой части головы и глазах (или затрагивает правую часть черепа), необходимо срочно обратиться к врачу. Особенно если присутствуют слабость, высокая температура, ломота в теле, рвота и тошнота. В группу риска по развитию инфекционных заболеваний входят люди с синуситом, отитом и острым кариесом.
Больше о влиянии простуды на головную боль вы узнаете здесь.
Невралгия тройничного нерва
Хроническое состояние, при котором болит левая сторона головы (возможно поражение и правой), возникает из-за сдавливания нервных окончаний. Это часто связано с ростом опухоли или изменениями в сосудах. Боль жгучая, интенсивная и стреляющая, локализуется в области иннервации тройничного нерва: висок, бровь, ухо, глаз, челюсти и шея. Приступы резкие, но обычно короткие — всего несколько секунд. В момент их появления больной замирает, опасаясь усилить боль, или начинает неосознанно растирать пораженный участок.
Остеохондроз
Структурные изменения межпозвоночных дисков снижают функциональность позвоночного столба. Это приводит к ухудшению кровообращения и сдавлению нервов, что, в свою очередь, нарушает питание головного мозга и вызывает накопление токсинов в тканях. У пациента возникают головные боли в области шеи и затылка, которые могут распространяться на всю половину черепа. Эти боли сопровождаются головокружением, слабостью, хрустом в шее при поворотах и скованностью движений. Иногда даже вращение глаз вызывает дискомфорт. Если ранее остеохондроз был характерен для пожилых людей, то сейчас он затрагивает офисных работников, молодежь и людей с избыточным весом или низкой физической активностью.
О методах лечения шейного остеохондроза вы узнаете здесь.
Опухоль мозга
Доброкачественные образования в головном мозге создают давление на ткани, что приводит к повышению внутричерепного давления и головной боли.
Они могут раздражать рецепторы и сжимать сосуды, вызывая дефицит кислорода и питательных веществ. Раковые опухоли, даже небольшие, выделяют токсины, которые негативно влияют на мозг. В зависимости от типа и локализации опухоли могут возникать боли в левой стороне головы, рвота, ухудшение аппетита, судороги, изменения настроения и поведения, а также снижение когнитивных функций.
Глаукома
Офтальмологические заболевания могут привести к нарушению зрения и даже слепоте. Если у пациента болит левый глаз и левая сторона головы, это не всегда указывает на локализацию проблемы. Из-за сложных реакций и передачи импульсов источник боли может находиться в правом глазу. В зависимости от формы и стадии заболевания клиническая картина варьируется. В одном случае это может быть лишь боль над левым глазом, отдающая в висок, в другом — целый набор симптомов.
Инсульт
Острое нарушение мозгового кровообращения (ОНМК) возникает внезапно и может быть ишемическим (тромбоз или спазм сосудов) или геморрагическим (кровоизлияние). Это экстренное состояние затрагивает сосуды головного мозга и требует неотложной помощи.
При инсульте у человека наблюдаются сильные головные боли и другие симптомы, которые могут указывать на серьезный диагноз.
Клиническая картина инсульта включает:
- резкую, жгучую, интенсивную и нарастающую головную боль в левом или правом полушарии;
- спутанность или потерю сознания;
- паралич лицевой мускулатуры или конечностей на стороне, противоположной пораженному полушарию;
- асимметрию лица;
- трудности с речью;
- рвоту и непроизвольное мочеиспускание.
Даже при быстром реагировании на симптомы нет гарантии положительного исхода. Многие люди, перенесшие ОНМК, становятся инвалидами. Если у человека из группы риска появляются предвестники, такие как головокружение или головная боль, следует немедленно обратиться к врачу.
Метеочувствительность
Боль в левом полушарии головы может возникать у людей с повышенной чувствительностью к изменениям погоды. Этот синдром проявляется периодически в течение года или только при смене сезонов. Реакция зависит от индивидуальных особенностей и может быть вызвана перепадами атмосферного давления, температуры, влажности, сменой облачности или направлением ветра. Боль локализуется в одной половине головы, отдавая в ухо и висок, а также создавая давление на лоб и виски. Ощущения могут быть как простреливающими, так и ноющими. Часто такие боли сопровождаются колебаниями пульса и артериального давления, сонливостью, нарушениями сна и перепадами настроения.
Диагностика
Причиной боли в одной половине головы могут быть как неправильный прикус, так и органическое поражение головного мозга. Поэтому выявлением источника симптома должен заниматься врач. Прием лекарств до этого момента должен быть разовым, если терпеть боль невозможно. Диагностика основывается на сборе анамнеза и осмотре пациента.
Для уточнения ситуации могут использоваться такие методы, как КТ, МРТ, УЗИ сосудов шеи и головного мозга, а также ЭЭГ. В некоторых случаях, если болит левое полушарие головы, может потребоваться консультация ЛОРа, офтальмолога, стоматолога, невролога или психолога.
Что делать, если болит левая часть головы
В большинстве случаев можно обойтись консервативными методами терапии. К ним относятся прием лекарств, массаж, лечебная физкультура, рефлексотерапия и народные средства. В некоторых ситуациях требуется хирургическое вмешательство, например, для удаления опухоли или гематомы, или остановки кровотечения.
Вот подходы, которые помогают при головной боли, если это единственный симптом:
- отдых в проветренном помещении или прогулка на свежем воздухе;
- массаж головы и воротниковой зоны;
- прием спазмолитиков или НПВС, таких как «Но-Шпа», «Ибупрофен» или «Цитрамон»;
- прохладный или теплый компресс на проблемную область;
- теплый душ или ванна, ванночка для ног с эфирными маслами;
- чашка теплого некрепкого черного чая с медом и лимоном;
- втирание «Звездочки» или эфирного масла мяты в виски.
Перед применением любых средств, даже проверенных народных, рекомендуется проконсультироваться с врачом. Если боль усиливается или появляются дополнительные симптомы, необходимо обратиться за медицинской помощью.
Боль с левой стороны головы в 80% случаев связана с хронической усталостью, перенапряжением или началом простудного заболевания. Однако даже эти диагнозы могут быть опасны и привести к осложнениям.
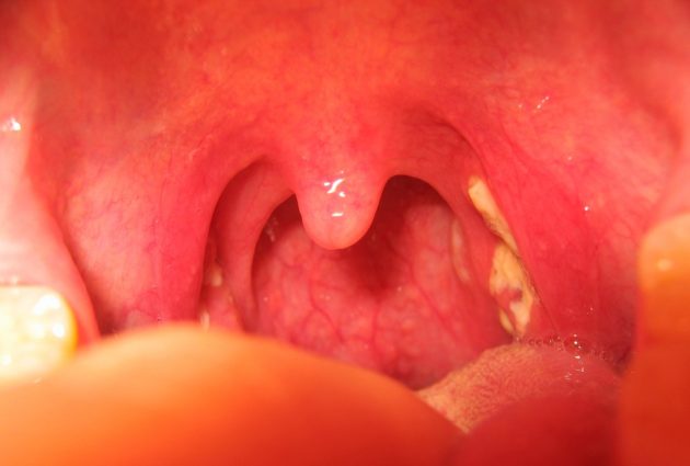
Боль в горле — один из самых распространенных симптомов, входящий в «воспалительную триаду» вместе с повышением температуры и общим недомоганием. Чаще всего она возникает из-за переохлаждения. Но что делать, если болит горло с одной стороны? Нужно ли принимать специальные меры или можно обойтись без обращения к врачу, как при обычной простуде?
Асимметричный болевой синдром всегда следует рассматривать как более серьезное состояние, чем симметричная болезненность. Наиболее частая причина боли в горле — воспаление слизистой оболочки глотки, ее гиперемия и рыхлость.
Это состояние приводит к усилению боли при глотании, особенно по утрам, после длительного покоя. Обычно боль уменьшается, и человек «привыкает» к этому состоянию в первые дни. Но какие причины могут вызывать односторонний болевой синдром и какие признаки его сопровождают?
Причины и характер асимметричной боли в горле
В анатомии нет термина «горло». То, что мы называем горлом, — это ротоглотка, которая переходит в пищевод и гортань. Кроме этих структур, существуют и другие образования, способные вызывать болезненные ощущения.
Односторонняя боль в горле воспринимается как более неприятная, так как обычно боль при глотании симметрична. При питье воды или глотании пищи боль часто кажется менее выраженной.
Какие заболевания могут вызывать асимметричную боль? Рассмотрим известные патологические состояния, способные нарушить функционирование ротоглотки, и оценим вероятность асимметричной локализации болевых ощущений.
Острый тонзиллит, или ангина
Ангина — распространенное заболевание, которым, кажется, переболели все в детстве. Она бывает катаральной, фолликулярной и лакунарной. Течение ангины может варьироваться: иногда сопровождается нарушением общего самочувствия, а иногда протекает на фоне нормальной температуры. Для всех форм характерна симметричная боль в горле. Хотя одна из миндалин может быть немного более болезненной, значительная разница в боли между ними нехарактерна.
Чаще всего наблюдаются следующие симптомы:
- выраженные боли в горле при глотании;
- высокая температура, ломота в суставах, недомогание, головные боли;
- гиперемия, отечность и увеличение миндалин;
- наличие гнойных пробок на поверхности миндалин;
- лимфаденит — увеличение и болезненность регионарных лимфоузлов.
При классической ангине боль в горле обычно не локализуется только с одной стороны, если одна из миндалин не удалена. Хотя бывают исключения, например, после тонзиллэктомии, когда пациент чувствует себя плохо, и удаление второй миндалины откладывается. В таких случаях ситуация объяснима и не представляет опасности. Подробнее об ангине →
Фарингит
Это воспаление слизистой ротоглотки. Фарингит — одно из самых распространенных заболеваний в практике ЛОР-врача. Основной симптом — боль при глотании, даже при глотке без пищи, а также рыхлость, гиперемия и отечность задней стенки глотки. При катаральном фарингите отек симметричен, что можно легко проверить, взглянув в зеркало с открытым ртом.
Если боль локализуется с одной стороны, необходимо обратиться к отоларингологу. Асимметрия указывает на наличие очага воспаления, отличного от общего процесса, и может свидетельствовать о латерализации очага.
Глотка — подвижное образование с рыхлой подслизистой оболочкой, склонной к отеку. При простудах, переохлаждении или гриппе возникают различные симптомы — першение, щекотание, боль — но они обычно не имеют четкой локализации.
Если появляется отчетливая боковая проекция боли, например, с правой стороны, это может означать:
- возникновение гнойного очага с распространением в подслизистую оболочку и глубже (абсцесс);
- наличие специфической инфекции.
В этом случае может идти речь о туберкулезном поражении. Иногда упоминается первичный период сифилиса, когда на задней стенке глотки появляется твердый шанкр. Однако при сифилисе боль может ощущаться не только с одной стороны. Шанкр, как правило, не вызывает боли, так как это место внедрения бледных трепонем, и воспалительного процесса в нем нет. Регионарные лимфоузлы (заднешейные, поднижнечелюстные) будут реагировать на инфекцию.
Ларингит
Если процесс распространяется ниже глотки, возникает воспаление гортани, или ларингит. В этом случае поражается слизистая оболочка. Основной признак острого и хронического ларингита — осиплость голоса (дисфония) или полная его утрата (афония). Остальные симптомы, такие как жжение или ощущение инородного тела, обычно не вызывают бокового дискомфорта.
При ларингите наблюдаются гиперемия и утолщение голосовых связок. Если в одну из связок произошло кровоизлияние, и ее отек больше, чем у соседней, это может вызывать сильную боль сбоку. Также боковая боль в горле может возникать при образовании узелков на связках, что часто происходит у певцов и преподавателей. Эта боль свидетельствует об обострении хронического ларингита.
При специфическом сифилитическом ларингите, когда появляются язвы и бляшки, может наблюдаться поражение. В период вторичного свежего или рецидивирующего сифилиса возникает атипичный болевой синдром, который длительно беспокоит и не связан с переохлаждением.
Очаговые гнойники, или абсцессы
Наиболее неотложной патологией является заглоточный или окологлоточный абсцесс. При этих гнойных очагах возникает резкая асимметричная боль в горле, затрудняющая или делающая глотание невозможным. Рот может заполняться слюной, которая вытекает наружу. Открыть рот сложно из-за рефлекторного спазма жевательных мышц, известного как тризм.
При осмотре наблюдается отечный и напряженный купол слизистой. Необходима срочная госпитализация в специализированное отделение для вскрытия абсцесса и назначения антибиотиков, что быстро улучшит состояние пациента.
Заболевания среднего уха и евстахиевой трубы
При отите часто возникают «стреляющие» боли в ушах. Слуховые трубы выравнивают давление воздуха в ухе и глотке, открываясь в глотку. При фарингите может воспалиться одна или обе слуховые трубы, что приводит к болям в области горла, особенно при глотании, которые могут отдавать в височные области.
Травмы
Травмы мягких тканей могут вызывать одностороннюю боль. Часто причиной является случайное проглатывание острой рыбьей кости, которая застревает в глоточных карманах. Это может привести к царапинам слизистой и её инфицированию, что вызывает глубокую боль и ощущение инородного тела.
Также слизистую можно обжечь термически, употребляя горячую пищу, или химически, при рвоте, когда выходит желудочный сок. При таких травмах общее состояние обычно не ухудшается, и пациенты могут точно указать причину боли.
Онкологические причины
Наиболее распространенными являются рак губы, языка и гортани. У курильщика средних лет хроническая боль в горле с одной стороны может указывать на злокачественное новообразование гортани. Это заболевание часто развивается после длительного хронического ларингита на фоне измененной слизистой.
Помимо односторонней боли, первыми признаками рака являются:
- прогрессирующее изменение голоса, вплоть до афонии;
- появление объемного образования на шее;
- при росте опухоли в просвет гортани возникает рестриктивная дыхательная недостаточность — препятствие току воздуха;
- на поздних стадиях опухоль может сжимать пищевод, вызывая дисфагию — затруднения при глотании, сначала плотной, а затем и жидкой пищи.
Также могут проявляться другие признаки злокачественных новообразований: кахексия, анемия, снижение трудоспособности, бледность и землистый цвет лица.
Инфекции
Большинство инфекционных заболеваний, таких как грипп, парагрипп и инфекционный мононуклеоз, поражают лимфоидную и железистую ткань, не вызывая одностороннего поражения. Даже если в начале болезни боль ощущается только с одной стороны, в разгар заболевания это чувство исчезает.
Исключение составляет дифтерия зева, при которой образуются плотные пленки, оставляющие кровоточащие следы. В этом случае может возникнуть односторонняя боль, но она не является диагностическим признаком. Врача интересует состояние зева и характер налетов: это плотные серо-белые пленки, четко очерченные, трудно отделяющиеся, под которыми находятся кровоточащие раны.
Другие причины
Не забывайте, что ряд заболеваний может вызывать боль в горле с одной стороны при глотании, движении, физической нагрузке или в покое.
К таким патологиям относятся:
- острый приступ ИБС (стенокардия) — боль отдает в левую часть горла и не связана с глотанием;
- кариес и пульпит угловых коренных зубов;
- базальный менингит и тромбозы синусов;
- языкоглоточная невралгия;
- острые лейкозы.
Также выраженный дефицит аскорбиновой кислоты (цинга) может проявляться язвенно-некротическим поражением полости рта и ротоглотки, сопровождающимся болью и кровотечениями.
Первая помощь при боли
Не пытайтесь самостоятельно назначать себе антибиотики или вскрывать подозрительные очаги. Можно прополоскать рот теплым раствором антисептика (Фурацилин, Хлоргексидин) и рассосать специальные леденцы.
Если вы чувствуете выраженное недомогание и у вас высокая температура, примите жаропонижающее и вызовите врача. Для обезболивания, например, при язвенно-некротических поражениях, можно использовать спрей местного анестетика — лидокаина.
К какому врачу обратиться, если горло болит с одной стороны?
При подозрении на инфекционное заболевание, сопровождающееся высокой температурой и недомоганием, следует вызвать терапевта на дом. Признаки инфекции часто включают кашель или насморк, а также предшествующее переохлаждение.
Если боль возникла на фоне нормального самочувствия, необходимо обратиться к отоларингологу. Специалист сможет поставить диагноз и выявить источник боли, даже если он не виден, например, с помощью ларингоскопии.
Лечение
Говорить о терапии боли в горле без знания причин нецелесообразно.
Иногда лечение может быть быстрым, например, при проколе абсцесса скальпелем. Если имеется окологлоточный абсцесс и болит горло с левой стороны, после прокола пациенту следует повернуть голову влево, чтобы гной не попал в гортань и пищевод. Обычно на следующий день пациент уже чувствует себя лучше.
При ларингите лечение включает голосовой покой, ингаляции и медикаменты. При гриппе основное внимание уделяется дезинтоксикации, противовирусной терапии и профилактике вторичной бактериальной инфекции. При язвенном поражении из-за цинги необходимо парентеральное введение аскорбиновой кислоты и применение репарантов, таких как метилурациловая мазь, гель Актовегин и облепиховое масло.
Профилактика
Способы профилактики болевого синдрома в ротоглотке и гортани не зависят от локализации боли. Избегая переохлаждений и укрепляя иммунитет, можно снизить частоту простудных заболеваний.
Чтобы предотвратить ларингит, следует не перегружать голосовые связки и избегать запыленной атмосферы. Беспорядочные половые связи могут привести к хламидиозу и сифилису, а постоянное курение и хронические заболевания голосового аппарата увеличивают риск онкологических заболеваний.
Важно помнить, что при болях в горле не стоит полагаться на собственные силы — необходимо обращаться к специалистам. Исключение составляют случаи, когда боль не вызывает опасений и сопровождается обычным ОРВИ, тогда можно лечиться самостоятельно.
Рекомендуются ингаляции с медикаментозными растворами и отварами целебных растений, таких как календула и ромашка. Полоскания солью помогут снять отек. Также полезно обильное витаминное питье и прием антисептических пастилок и жевательных таблеток. Если лечение начато вовремя, можно избежать многих осложнений, описанных в статье.
Автор: Станислав Погребной, врач,
специально для Moylor.ru






