Боль в тазобедренном суставе при беременности возникает из-за значительных изменений в организме женщины. Начиная со второго триместра, усиливаются обменные процессы, так как будущему ребенку необходимо питание, защита, тепло и условия для нормального развития. Эти факторы увеличивают нагрузку на организм и опорно-двигательную систему.
В этом материале рассмотрим возможные причины боли в тазобедренном суставе во время и после беременности.
Причины болевых ощущений во время и после беременности
Болевой дискомфорт у женщин во время беременности может возникать по нескольким причинам. Основные факторы, вызывающие боль в тазобедренном суставе:
- гормональный дисбаланс;
- повышенная нагрузка на малый таз из-за увеличения матки;
- недостаточное кальцинирование суставных сегментов;
- отражающие боли от старых травм или хронических заболеваний;
- дисфункция лобкового симфиза.
Теперь рассмотрим, как изменяются позвоночник и угол в тазобедренном суставе во время беременности.
Гормональные изменения
Во время беременности в организме женщины активно вырабатываются эндогенные стероиды — прогестерон и эстроген. Эти гормоны влияют на репродуктивную систему матери и эмбриона, активируя обменные процессы. Прогестерон усиливает свою активность только в присутствии эстрогена. Он переводит эндометрий в секреторную стадию, снижает иммунную защиту и сокращает маточную мускулатуру, что позволяет организму принять эмбрион.
Эстроген способствует развитию и подготовке матки, маточных труб и влагалища к беременности, а также улучшает структуру молочных желез.
Однако, помимо положительных эффектов, есть и отрицательные моменты. Поскольку женские половые гормоны сосредоточены на поддержке репродуктивной системы и эмбриона, это приводит к недостатку питательных веществ для костно-суставной системы. Хрящевая ткань размягчается, мышцы расслабляются, а эластичность связочно-сухожильного аппарата увеличивается. Эти изменения подготавливают организм к родам и могут быть причиной болей в тазобедренных суставах во время беременности.
Повышенные нагрузки и дефицит минералов
Внутриутробное развитие плода приводит к естественному увеличению веса женщины. За время беременности будущая мама может набрать от 10 до 15 кг.
Увеличение массы тела становится заметным в третьем триместре. Матка достигает максимального размера, формируется слой подкожного жира. Эти изменения негативно влияют на биомеханику позвоночника и малого таза, создавая дополнительную нагрузку на тазовые кости и бедра.
Изменения в костно-суставном аппарате не проходят бесследно. Женщины часто испытывают боли в области малого таза, тазобедренного сустава, голеностопа и дистальных конечностей. Обычно это ноющие или тянущие боли.
Скелет плода начинает формироваться на 7-8 неделе, что требует активного поступления минеральных веществ от матери. В этот период организму женщины необходимо увеличить потребление кальция в три раза. Для активизации минерализации костно-суставной и связочно-мышечной системы будущей матери важно также получать достаточное количество витамина D.
Недостаточная минерализация и естественная нагрузка во время беременности могут вызывать боли в тазобедренном суставе.
https://youtube.com/watch?v=qUb4QY3D_S0
Отражающие боли
Болевые ощущения в тазобедренном суставе могут возникать из-за хронического воспаления, связанного с ревматическими заболеваниями (артрит) или артрологическими состояниями (остеоартроз, коксит). Обострение воспалительного процесса в области тазобедренного сустава может происходить при сильной нагрузке на суставы.
Существуют и другие механизмы, способствующие разрушению суставного хряща и субхондральной кости:
- асептическое воспаление суставов после внесуставной инфекции;
- наследственная предрасположенность к ревматическим заболеваниям;
- инфекционное поражение суставного хряща бактериальными, вирусными или аллергическими агентами;
- псориатическая артропатия, связанная с кожной формой псориаза, может вызывать скованность и дискомфорт.
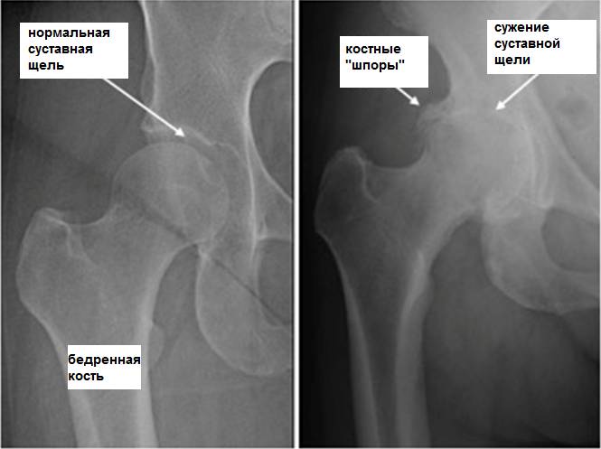
Деформирующий остеоартроз представляет собой более сложное состояние, при котором болит тазобедренный сустав во время беременности. Женщина испытывает не только боль, но и ограничение движений, особенно при отведении и приведении ноги. Боль может проявляться как при ходьбе, так и в состоянии покоя.
Весь период беременности может сопровождаться постоянными болевыми приступами. После родов требуется срочное лечение.
Дисфункция лобкового симфиза
Артрит ТБС или дисфункция лонного сочленения — это распространенная причина болевого синдрома в области тазобедренного сустава. При беременности организм женщины начинает подготовку к родам. Все сочленения малого и большого таза, включая лобковый симфиз, начинают размягчаться. Это необходимо для свободного прохождения плода через костный малый таз.
В редких случаях физиологические процессы могут превышать норму, что приводит к болям в тазовом сочленении различной интенсивности. Чрезмерное расслабление суставов малого таза может вызвать разрыв во время родов.
Успокаивает то, что дисфункция лобкового симфиза, вызывающая боль в тазобедренном суставе, обычно исчезает после родов. Причины проблем с лонным сочленением во время беременности могут быть метаболическими, биохимическими, гормональными или анатомическими.
Клинические признаки дисфункции включают:
- резкие боли в области симфиза;
- иррадиацию боли в пах, низ живота, бедро или голеностопный сустав;
- усиление боли при активных действиях: ходьбе, наклонах, поворотах туловища и отведении бедра;
- затруднения с дефекацией и мочеиспусканием.
Боль в симфизе может быть ноющей или тянущей, вызывая у женщины постоянную усталость.
https://youtube.com/watch?v=j-br9eCntFo
Возможные осложнения после родов
У женщин после родов часто наблюдаются боли в тазобедренном суставе, которые не всегда связаны с деформацией малого таза. Обычно это результат физиологического стресса, перенесенного организмом во время родов, что проявляется болями в различных анатомических зонах.
Рекомендации по восстановлению доктора Шперлинга:
Боль в тазобедренном суставе может быть отражением болей в пояснично-крестцовом отделе позвоночника. Во время беременности мышцы, сухожилия и связки были растянуты или укорочены.
Для восстановления костно-мышечного аппарата и связок требуется время. Исключение составляют хронические неврологические заболевания, о которых лечащий врач должен был знать до родов.
https://youtube.com/watch?v=u6VhFFSsBq4
Восстановление после родов
Для женщины восстановительный послеродовой период очень важен, так как опорно-двигательная система претерпевает изменения уже в начале беременности. С увеличением нагрузки на тазобедренные суставы и пояснично-крестцовый отдел позвоночника меняется функциональность мышечно-связочного аппарата.
Во время беременности центр тяжести опорно-двигательной системы смещается. Это может вызывать проблемы с подвижностью в коленных, тазобедренных и поясничных суставах, что приводит к болевым симптомам. У родившей женщины могут возникать болевые синдромы в суставах, ломота в костях и мышечные спазмы.
Лишний вес усугубляет болевую реакцию и может привести к ожирению, что в свою очередь провоцирует кардиоваскулярные патологии и метаболические синдромы.
Видео о нюансах лишнего веса при беременности:
Беременность также может вызывать растяжки на коже в нежелательных местах, что негативно сказывается на самочувствии женщин, особенно чувствительных и психологически неустойчивых, вызывая послеродовую депрессию и снижение психомоторной реакции.
Важно, чтобы в послеродовой период у женщины был квалифицированный наставник, который разработает индивидуальную программу восстановления. В некоторых областных и районных центрах уже существуют специализированные центры по восстановительной послеродовой реабилитации.
Обращение к специалистам помогает женщине:
- вернуть стройную и подтянутую фигуру;
- укрепить костно-суставный и мышечный корсет тазобедренного и поясничного пояса;
- уменьшить подкожно-жировую прослойку;
- улучшить психологическое и физическое состояние;
- нормализовать вес.
Консультацию по индивидуальным программам послеродового восстановления и лечения заболеваний можно получить по телефонам:
- В Ростове-на-Дону: Семейная клиника «9 месяцев», тел. 8 (863) 288-00-00.
- Во Владивостоке: Спортивно-оздоровительный центр «Атмосфера», тел. 7 (423) 200-04-60.
- В Сочи: Федерация шейпинга г. Сочи, тел. 7 (918) 918-45-99.
- В Москве: Центр В. И. Дикуля, тел. 7 (495) 987-47-47, 7 (495) 385-97-97.
Как подготовиться к беременности
Для женщины важна не только послеродовая реабилитация, но и подготовка к беременности. Необходимо вылечить патологии организма и укрепить позвоночник, особенно грудной и пояснично-крестцовый отдел, а также суставы тазобедренного скелета.
Правильное питание играет ключевую роль. Из рациона следует исключить вредные продукты, такие как соленая и жирная пища. При отсутствии хронических заболеваний стоит проконсультироваться с врачом и добавить в рацион минеральные добавки и витамины.
Упражнения, полезные перед беременностью:
Для укрепления иммунной системы подойдут водные и воздушные процедуры, а также общефизическая подготовка. Рекомендуется выполнять комплекс лечебно-профилактических упражнений на растяжение связочно-мышечного аппарата и мышц тазового дна, а также для повышения подвижности суставов.
Рекомендуемый комплекс упражнений
| Лечебно-профилактическое назначение | Гимнастические упражнения |
| Усиление мышц тазового дна | 1. Поочередное напряжение и расслабление мышц промежности в положении стоя по 5-10 секунд. 2. Ходьба по кругу или на месте с максимальным приподниманием коленей в течение 2-3 минут. 3. Ноги на ширине плеч, руки согнуты в локтях перед грудной клеткой. Поднимаем ноги, касаясь коленом локтей. Повторить не менее 10 раз. 4. Лёжа на спине, имитируем езду на велосипеде в течение 1-2 минут. 5. Исходное положение то же. Согнутые ноги прижимаем к животу и поочередно выпрямляем под углом 45º. Повторить по 10 раз каждой ногой. |
| Укрепление тазобедренного сустава | 1. Исходное положение — лежа на спине. Поочередно поднимаем ноги с прямыми коленями на максимально возможную высоту. Повторить по 5-10 раз каждой ногой. 2. Не меняя положения, приподнимаем правую ногу под углом 45º и отводим в сторону. Аналогично выполняем другой ногой. Повторить 10 раз. 3. Исходное положение — лежа на боку. Правая нога согнута, левая — выпрямленная. Поднимаем левую ногу на максимальную высоту. Повторить на другом боку. Всего 5-10 подъемов. 4. Лежа на спине с согнутыми коленями, поднимаем таз на 10-20 см. Повторить 10 раз. 5. Лежа на животе, поднимаем согнутую правую ногу под углом 45º как можно выше. Аналогично выполняем левой ногой не менее 10 раз. |
| Поддержка пояснично-крестцового отдела | 1. Исходное положение — сидя на полу с выпрямленными ногами. Поворачиваем туловище по 5 раз в каждую сторону. 2. Не меняя положения, выполняем наклоны влево и вправо. Руки на поясе. 3. В положении сидя наклоняем корпус максимально вперед и удерживаем 10-15 секунд. Возвращаемся в исходное положение. Повторить 10 раз. 4. Усложняем движения из пункта 3 поворотами при наклонах. 5. Исходное положение — стоя, руки в замке на затылке. Выполняем круговые движения талией по 5-6 раз в каждую сторону. |
Эти гимнастические упражнения можно выполнять не только при подготовке к беременности, но и во время нее и после родов. Главное условие — одобрение гинеколога или другого профильного специалиста.
Комплекс физических упражнений нельзя выполнять при наличии болей в соответствующих зонах опорной системы.
Похожие статьи
Как забыть о болях в суставах?
- Боли в суставах ограничивают ваши движения и полноценную жизнь.
- Вас беспокоит дискомфорт, хруст и постоянные боли.
- Возможно, вы перепробовали множество лекарств, кремов и мазей.
- Но, судя по тому, что вы читаете эти строки, они не принесли значительного облегчения.
Ортопед Валентин Дикуль утверждает, что существует действительно эффективное средство от боли в суставах! Читать далее >>>
загрузка…
Источник
Если болит тазобедренный сустав при беременности, с чем это связано? В чем причина болей в тазобедренных суставах — в естественных изменениях в организме женщины или это сигнал о скрытых заболеваниях суставов?
Распространенные причины
Боль в тазобедренном суставе при беременности может возникать по следующим причинам:
- недостаток витаминов и минералов;
- гормон релаксин;
- естественное увеличение веса;
- патологии позвоночника;
- хронические заболевания суставов;
- ранее перенесенные травмы.
Любая боль в тазобедренных суставах во время беременности требует обращения к врачу, особенно если дискомфорт ощущается в состоянии покоя или на поздних сроках. Каждый случай индивидуален, и выяснять причины нарушений должен специалист.
Недостаток кальция и витамина D
На последних неделях беременности происходит активное укрепление костной ткани плода. Это может привести к остеопении у будущей матери — состоянию, характеризующемуся потерей минеральных компонентов в костях, что приводит к их размягчению. Симптомами остеопении могут быть ломота в костях, особенно в суставах таза и коленях.
Остеопенический синдром лечится дополнительным приемом кальция и витамина D. Для предотвращения этого состояния будущим мамам рекомендуется начинать принимать эти препараты еще на этапе планирования беременности.
Гормон релаксин
Во время беременности в организме женщины начинает вырабатываться гормон релаксин. Он способствует растяжению связочного аппарата, что облегчает прохождение плода через родовые пути. Расслабленные связки испытывают нагрузку из-за увеличившегося веса беременной, что может вызывать болевые ощущения. Походка женщины становится похожей на «утиную».
Хронические заболевания
Если у женщины до беременности были скрытые заболевания костной системы, то в период вынашивания ребенка они могут проявиться с удвоенной силой, особенно это касается тазовых костей. Боль в тазобедренных суставах во время беременности может возникать по следующим причинам:
- дисплазия тазобедренных суставов;
- остеоартроз тазобедренных суставов.
Поэтому в период планирования беременности важно максимально укрепить здоровье.
Превышение нормы веса
Во время беременности женщина естественно прибавляет в весе. Нормой считается увеличение на 15-20 кг; превышение этой цифры может привести к проблемам со здоровьем. Резкие изменения веса могут вызвать следующие осложнения:
- Преждевременные роды.
- Смерть плода.
- Проблемы со здоровьем у ребенка.
- Развитие диабета.
- Преэклампсия — высокое давление, угрожающее жизни матери и ребенка.
- Рождение крупного плода.
Норма прибавки веса во время беременности индивидуальна и зависит от роста и типа телосложения женщины.
Патологии в позвоночнике
Заболевания позвоночника, такие как остеохондроз, грыжа и протрузия, часто проявляются болью в суставах таза. Если у женщины до беременности были проблемы с позвоночником, во время беременности они могут обостриться, особенно перед родами.
Травмы до беременности
Почему болят травмированные тазобедренные суставы при беременности? Хотя ранее перенесенная травма уже срослась, в период активного роста веса женщины и плода суставы испытывают повышенную нагрузку. Это может привести к болям в области срастания травмы. В таких случаях рекомендуется снизить нагрузку на травмированную конечность.
Профилактика проблем с тазом во время беременности
Полностью избавиться от болей в суставах невозможно, но можно значительно облегчить течение беременности, следуя этим рекомендациям:
- Укреплять костно-мышечный аппарат на этапе планирования беременности.
- Соблюдать сбалансированное питание, уделяя внимание потреблению белков.
- Держать спину в правильном положении.
- Посещать фитнес-программы для беременных.
- Избегать подъема тяжестей.
- Пройти курс специального массажа.
Физическая активность важна во время беременности, так как она помогает подготовить тело к родам, улучшает кровообращение и расслабляет позвоночник. Будущим мамам рекомендуется заниматься следующими видами физической нагрузки:
- йога;
- пилатес;
- дыхательная гимнастика;
- ходьба;
- плавание;
- занятия на фитболе для беременных;
- упражнения Кегеля.
Все процедуры следует выполнять только с разрешения врача.
Важно! Во время беременности запрещено качать пресс. Физические упражнения должны приносить пользу и не причинять вред.
При занятиях гимнастикой беременная женщина должна учитывать следующие рекомендации:
- Контролировать температуру тела, избегая перегрева. Помещение должно быть хорошо проветриваемым.
- Следить за пульсом, избегая его длительного повышения.
- Пить во время занятий. Разрешены не слишком сладкие напитки для поддержания уровня глюкозы в крови.
- Заниматься под контролем квалифицированного инструктора, имеющего разрешение на проведение занятий для беременных.
- Избегать болевых ощущений. Все движения должны быть плавными, без резких движений и прыжков.
- Регулярность — залог успеха. Для достижения положительного эффекта занятия должны быть регулярными.
Если боли в тазу появились на ранних сроках беременности, они могут усиливаться и мешать сну. Однако при соблюдении рекомендаций врача и ведении здорового образа жизни неприятные ощущения могут быть минимальными, если отсутствуют серьезные патологии.
Чтобы минимизировать проблемы со здоровьем во время беременности, женщине следует комплексно подготовиться. Нагрузка ложится не только на репродуктивную систему, но и на весь организм. Врачи рекомендуют начинать подготовку за полгода до зачатия, чтобы выявить слабые места в организме и предотвратить обострение хронических заболеваний.








